Smile Gallery – VP Dental in Raleigh, NC
Aside from our goal to give you the best possible oral health, our dental office also aims to give a smile that will boost your confidence and self-esteem. To do so, we offer VP Dental smile makeover services, ranging from reconstructive dentistry procedures like same day crowns and dental implants to cosmetic dentistry procedures like dental bonding and Zoom! teeth whitening.
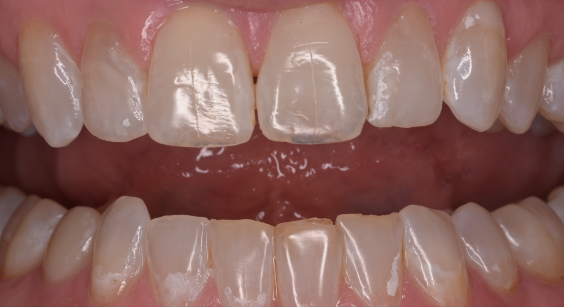
Before and After Dental Transformations
This dental smile gallery in Raleigh, NC, demonstrates our work at VP Dental to help enhance your smile. We do our best to meet every patient’s aesthetic dental goals. Here are just some of the before-and-after dental photos showing our patients’ successful transformations:
Scroll over the image and scroll left to right to see the before and after.
Do you wish you had a bright, healthy smile? Visit VP Dental in Raleigh, North Carolina, to make that dream a reality. Call us at (919) 518-0540 today to learn more about how our experienced dental team and high-quality dental services can improve your smile and oral health!

